Enhance your smile with customized cosmetic dentistry in Jersey City Heights, designed to deliver natural-looking, confident results.
Your smile is often the first thing people notice — and the way you feel about it can shape how you present yourself to the world. If you find yourself covering your mouth when you laugh, avoiding photos, or feeling self-conscious during conversations, you are not alone. At Tristate Dental Spa Jersey City Heights, cosmetic dentistry is designed to help you feel confident, comfortable, and proud of your smile.
Cosmetic dentistry is about more than appearance. It is about helping you feel like the best version of yourself. Small imperfections such as discoloration, chipped edges, uneven teeth, or gaps can have a surprising emotional impact. When those concerns are corrected, patients often experience a renewed sense of confidence that carries into social, professional, and personal interactions.
From your first visit, we focus on understanding what you would like to change and how you want your smile to look and feel. Some patients want subtle refinement. Others want a dramatic transformation. Our role is to guide you through your options and create results that look natural, balanced, and uniquely yours.
Cosmetic dentistry is not about creating a “perfect” smile. It is about creating a smile that feels authentic and gives you the confidence to share it freely.

The Emotional Impact of a Beautiful Smile
Patients often describe living with smile concerns as a quiet source of stress. They may hesitate to laugh openly, worry about close conversations, or feel less confident in professional settings.
After cosmetic treatment, many patients report:
The change is not just visual. It is emotional. Confidence grows because you are no longer thinking about hiding your smile.
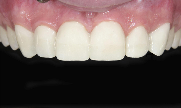
Cosmetic Dentistry Services We Offer
Teeth whitening
Porcelain veneers
Cosmetic bonding
Smile makeovers
Tooth reshaping and contouring
Replacement of old metal fillings
Alignment improvements with Invisalign
Each treatment is customized to enhance your natural features while preserving harmony and balance.
Teeth Whitening
Professional whitening safely removes stains caused by coffee, tea, wine, smoking, and aging. The result is a brighter, refreshed smile that still looks natural.
Cosmetic Bonding
Bonding repairs chips, closes small gaps, and reshapes teeth using tooth-colored material sculpted for a seamless appearance.
Porcelain Veneers
Veneers are thin porcelain shells placed over the front of teeth to improve color, shape, alignment, and overall aesthetics.
Smile Makeovers
A smile makeover combines multiple treatments to achieve comprehensive improvement tailored to your goals.
Replacing Metal Fillings
Tooth-colored restorations replace dark metal fillings for a cleaner, more natural appearance.
What to Expect During Your Cosmetic Consultation
Your consultation is a collaborative process focused on understanding your goals.
We evaluate:
Tooth color and shape
Alignment and spacing
Gum symmetry
Facial balance and smile harmony
We then discuss options and help you visualize potential improvements.
Benefits of Cosmetic Dentistry
Enhances appearance while maintaining a natural look
Improves confidence and self-image
Creates a more youthful smile
Corrects imperfections and unevenness
Supports long-term oral health
Even subtle improvements can make a significant difference in how you feel.